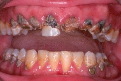
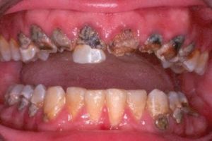
meth-teeth-5